Örnek olgu
39 yaşında erkek hasta 3 hafta önce başlayan sağ kol ağrısı ve uyuşukluk yakınmasıyla başvurdu.
Hastanın nörolojik muayenesi normal bulundu.
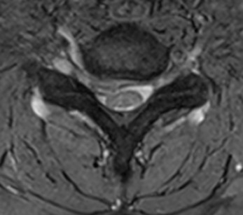
Yapılan MRG incelemelerinde (aşağıdadı) C6-7 seviyesinde bir disk hernisi saptandı.
![]() | ![]() |
Hastaya skopi kontrolü altında sağ C6-7 seviyesinden transforaminal epidural enjeksiyon uygulandı.
![]() |
Hastada ağrı şikayeti belirgin bir düzelme gösterdi. 2. hafta kontrolünde ağrı %80 oranında azalmıştı ve ağrı kesici kullanımı gerekmemekteydi.
Mesaj
Bu olgu servikal bölgede yumuşak disk hernilerinde, şikayet süresi kısa ve nörolojik bulgular yoksa ağrı kontrolü sağlayarak beklemenin uygun olduğunu düşündürtmektedir.
Transforaminal epidural enjeksiyon ağrı kontrolünde etkindir.
Dr. Cumhur KILINÇER



